Điều trị răng mọc lệch là một vấn đề được các bậc phụ huynh hết sức quan tâm. Bởi, ai cũng muốn con em mình sở hữu một hàm răng đều và nụ cười đẹp. Thấu hiểu được nỗi lo lắng đó, nha khoa 68 xin đưa ra những nguyên nhân chính dẫn đến răng lệch lạc ở trẻ nhỏ nhằm giúp phụ huynh có được những thông tin cơ bản để sớm phát hiện và điều trị kịp thời trong trường hợp răng mọc lệch ở bé.
Nguyên nhân dẫn đến tình trạng răng bị lệch lạc
- Sự mất cân xứng giữa răng và hàm. Răng lớn, hàm nhỏ hoặc ngược lại.
- Do di truyền, nét mặt hô hay móm từ cha mẹ, xương hàm phát triển quá mức hoặc kém phát triển.
- Mất răng sữa sớm. Một trong những chức năng của bộ răng sữa là hướng dẫn cho các răng vĩnh viễn mọc đúng trên cung hàm. Việc mất răng sữa sớm sẽ khiến cho răng vĩnh viễn mọc lệch, kẹt, xoay và chen chúc.
Ngoài những yếu tố di truyền, bẩm sinh thì những thói quen xấu cũng gây ảnh hưởng dẫn đến răng mọc lệch, như:
- Mút tay.
- Nghiến răng làm mòn men răng, vỡ men bờ cắn dẫn đến cắn sâu.
- Thở bằng miệng.
- Đẩy lưỡi, mút môi, bú bình… sẽ làm thay đổi cân bằng của môi trường miệng gây ra các sai lệch về khớp cắn.

Răng mọc lệch cũng được coi là khiếm khuyết của cơ thể. Việc này sẽ có 2 ảnh hưởng lâu dài đến trẻ:
- Về mặt thẩm mỹ: khi răng mọc lệch gây mất thẩm mỹ, làm cho bé ngại cười, thiếu đi sự tự tin, kéo theo ảnh hưởng đến tâm sinh lý trong quá trình phát triển và hình thành tính cách cũng như các mối quan hệ xã hội của bé. Răng mọc lệch gây khó khăn trong việc vệ sinh răng miệng, dễ gây sâu răng, nha chu và các bệnh răng miệng khác so với các trẻ có răng mọc thẳng hàng.
- Về mặt chức năng: khi răng mọc lệch sẽ ảnh hưởng đến khớp cắn, gây nghiến răng, đau khớp thái dương hàm… ảnh hưởng lâu dài khả năng ăn nhai của trẻ, từ đó ảnh hưởng đến sức khỏe toàn thân và sự phát triển thể chất toàn diện của trẻ.

Thời điểm nào tốt nhất để có thể phát hiện ra trẻ bị mọc lệch răng?
- Trong giai đoạn từ 6 đến 12 tuổi những chiếc cối đầu tiên sẽ mọc lên và bộ răng sữa sẽ được thay dần hoàn toàn. Thời kỳ này, khuynh hướng tăng trưởng xương hàm và khuôn mặt bắt đầu thể hiện rõ, những thói quen từ thời thơ ấu như bú bình kéo dài, mút ngón tay… sẽ làm thay đổi hình thái xương hàm và ảnh hưởng đến sự mọc răng.
- Phụ huynh cần quan tâm nhiều hơn đến sự phát triển về răng miệng của bé trong giai đoạn này. Quan sát bé thường xuyên để ngăn ngừa, hạn chế những thói quen xấu.
- Hỗ trợ bé trong việc hình thành thói quen vệ sinh răng miệng một cách thường xuyên. Đưa trẻ đi thăm khám răng cứ mỗi 6 tháng/lần là việc cần thiết để phát hiện ra những lệch lạc trong sự phát triển răng để sớm đưa ra những biện pháp can thiệp cần thiết.
- Ngày nay, với sự phát triển vượt bậc của khoa học về chỉnh hình răng, tình trạng răng mọc lệch có thể điều chỉnh được. Chỉnh hình răng mặt là phương pháp tốt nhất cho phép bác sĩ đặt các khí cụ như:
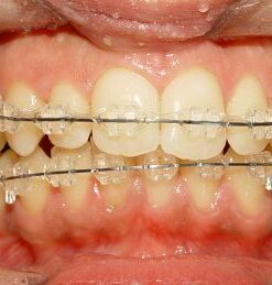
Khí cụ cố định với mắc cài và dây cung được dùng phổ biến trong điều trị chỉnh răng. Nhờ các tác dụng của dây cung trong mắc cài, răng sẽ được tác động lực để di chuyển về vị trí mong muốn.

Khí cụ ngoài mặt giúp định hướng sự phát triển xương hàm.

Khí cụ tháo lắp hỗ trợ kế hoạch chỉnh răng đồng thời giúp loại bỏ một số thói quen xấu của trẻ như tật đẩy lưỡi, mút tay.
Việc phát hiện và điều chỉnh răng mọc lệch sớm đạt được những kết quả như sau
- Giúp các răng mọc đúng vị trí.
- Giúp các xương hàm phát triển hài hòa với khuôn mặt, tạo nét thẩm mỹ.
- Hạn chế khả năng điều trị phẫu thuật trong các trường hợp sai lệch xương hàm quá mức.
- Cải thiện việc nuốt và phát âm.
- Loại bỏ các thói quen xấu có thể đưa đến sự phát triển lệch lạc của xương hàm.
- Hạn chế chấn thương răng do té ngã ở những trẻ có răng cửa quá nhô ra trước.
- Hạn chế nhổ răng vĩnh viễn.

















Reviews
There are no reviews yet.