Nha Khoa 68 sẽ giải thích vì sao nên thực hiện việc cạo vôi đánh bóng răng định kỳ.
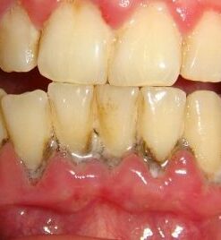
- Mảng bám hình thành suốt 24h mỗi ngày vì việc ăn uống của chúng ta là hoạt động diễn ra thường xuyên, liên tục. Khi mảng bám không được làm sạch, lâu ngày sẽ cứng dần và tạo thành cao răng.
- Sự vôi hóa của lớp cao răng này là một trong những nguyên nhân chủ yếu dẫn đến các bệnh về nướu như: nướu đỏ, nướu bị sưng, chảy máu, hơi thở có mùi và nếu tiến triển nặng có thể dẫn đến viêm nha chu, mất răng…
- Một trong những giải pháp tốt nhất để phòng ngừa các bệnh răng miệng là bạn nên đến trung tâm nha khoa để cạo vôi, đánh bóng răng mỗi 4 – 6 tháng/lần.



Lợi ích của việc cạo vôi đánh bóng răng.
Đánh răng thường xuyên, dùng chỉ nha khoa, vệ sinh răng thường xuyên và kiểm tra sức khỏe răng miệng giúp bạn luôn có nụ cười rạng rỡ và hơi thở thơm tho. Ngoài ra, những thói quen trên còn giúp bạn ngăn ngừa được những bệnh về răng miệng và giảm nguy cơ mất răng. Lấy vôi răng một cách thường xuyên sẽ giúp bạn loại bỏ những mảng bám, cao răng tích tụ và những mảng ố màu khỏi răng.
Dưới đây là 05 lý do bạn nên thực hiện việc cạo vôi-đánh bóng răng một cách thường xuyên.
- Tiết kiệm chi phí. Phòng bệnh hơn chữa bệnh, chăm sóc sức khỏe răng miệng thường xuyên giúp bạn ngăn ngừa bệnh phức tạp về răng miệng trong tương lai và để lại những chi phí trong hóa đơn sẽ thấp hơn.
- Ngăn ngừa các bệnh về răng miệng. Viêm nướu răng được gây ra bỏi những mảng bám tích tụ trên răng dẫn đến sưng nướu và chảy máu răng.
- Giảm các nguy cơ về đau tim và đột quỵ. Vi khuẩn có thể di chuyển vào máu làm tăng nguy cơ bị đau tim hoặc đột quỵ
- Kiểm soát và giảm thiểu nguy cơ mắc bệnh tiểu đường. Khi mắc bệnh về răng miệng thì việc kiểm soát lượng đường trong máu sẽ trở nên khó khăn. Bệnh tiểu đường và những bệnh về nướu thường có mối quan hệ với nhau. Người mắc bệnh tiểu đường dễ bị mắc bệnh về nướu và xương ổ răng sẽ tiêu đi nhanh chóng hơn bình thường.
- Hơi thở thơm tho. Hơi thở của bạn sẽ năng mùi nếu không làm sạch răng thường xuyên. Làm sạch răng ít nhất 02(hai) lần một ngày.
Qui trình thực hiện cạo vôi – đánh bóng răng

- Bác sĩ tư vấn, kiểm tra và chụp hình ảnh trong miệng, chụp phim X-quang để kiểm tra phần chân răng.
- Thực hiện việc cạo vôi bằng nguyên lý sóng siêu âm để làm rung và bong dần các cao răng mà không gây tổn thương cho nướu. Phương pháp này thường không đau, tuy nhiên với một số người nhạy cảm hoặc vôi răng quá dày thì có thể sẽ có cảm giác hơi ê buốt một chút.
- Sau khi cao răng và mảng bán được lấy đi, nha sĩ cũng sẽ giúp bạn làm sạch và đánh bóng răng (cũng bao gồm cả mặt trong và mặt ngoài) là giúp cho bề mặt răng mịn, mảng bám khó bám trụ lại trên răng, răng sáng hơn, cho cảm giác nhẹ nhàng, hơi thở thơm tho. Kết thúc, chụp hình trong miệng để so sánh và kiểm tra.
Vì sao bạn có thể yên tâm thực hiện cao vôi – đánh bóng răng với nha khoa 68
- Là phòng khám nha khoa quốc tế uy tín với đội ngũ bác sĩ giàu kinh nghiệm lâm sàng trên 10 năm. Từng được đào tạo và có thời gian nghiên cứu tại các nước Mỹ, Pháp, Đài Loan… Bạn có thể hoàn toàn yên tâm khi thực hiện điều trị tại nha khoa 68.
- Hệ thống X-quang kỹ thuật số hiện đại như máy chụp hình CBCT, máy chụp phim quanh chóp hỗ trợ quan sát hình ảnh chi tiết nhất.
- Cảm giác đau của bạn sẽ được giảm bớt khi bác sĩ dùng thuốc giảm đau hay gây tê tại chỗ.
- Sự riêng tư và thư giãn: các phòng điều trị riêng biệt tạo sự riêng tư. Âm nhạc kết hợp trong quá trình điều trị tạo cảm giác thư giãn, thoải mái. Hệ thống wifi được cung cấp cho toàn phòng khám, bạn có thể kiểm tra email, xem tin tức…trong lúc chờ đến lượt.
- Tuân thủ việc vô trùng, khử khuẩn đáp ứng tiêu chuẩn quốc tế cũng như Việt Nam.
- Các nguyên vật liệu được nhập khẩu từ những nhà cung cấp nguyên vật liệu nha khoa hàng đầu tại Mỹ, Nhật, Đức















Reviews
There are no reviews yet.